??????真菌性角膜炎(fungal?keratitis,mycotic?keratitis)或角膜真菌病(keratomycosis),是一種由致病真菌引起的致盲率極高的感染性角膜病變。隨著抗生素和糖皮質激素的廣泛應用以及對本病的認識和診斷水平的提高,其發病率不斷上升。?
?????(一)發病原因?
?????1.致病條件:?
?????一般情況下,真菌不會侵犯正常角膜,但當角膜被農作物如谷物、樹枝等擦傷及角膜異物挑除后易引起真菌感染,或當眼外傷、手術或長期局部使用抗生素、激素以及機體抵抗力下降時,可引起角膜繼發性真菌感染。?
?????2.致病菌種:?
???? 常見的致病菌以鐮刀菌多見,其次是曲霉菌、白色念珠菌等。各類真菌都可侵犯角膜,絲狀菌是角膜的主要致病菌。各種多細胞真菌的菌絲與孢子形態不同,是鑒別真菌的重要標志。?
????(二)臨床表現?
?? 1.起病緩慢、病程長,可持續達2~3個月,刺激癥狀較輕。?
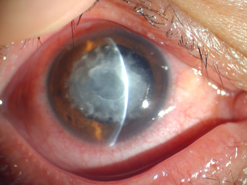
?????2.角膜潰瘍一般呈灰白色或乳白色混濁,形狀不規則,表面粗糙不平,呈“舌苔”或“牙膏”狀,高起于角膜表面。因菌絲伸入潰瘍四周而形成偽足,或在潰瘍外圍呈現出所謂“衛星”病灶。在潰瘍向深部發展時,壞死組織脫落,角膜穿孔,或出現“露水”現象,可推測前房已消失。有時在壞死的角膜中,夾雜有虹膜組織,表示潰瘍已穿孔。?
???? 真菌性角膜炎典型的角膜病變有:?
(1)菌絲苔被?表現為角膜感染病灶呈灰白色輕度隆起,外觀干燥,無光澤,有的為羊脂狀,與下方炎癥組織粘連緊密。?
(2)偽足?在感染角膜病灶周圍有偽足,像樹枝狀浸潤。?
(3)衛星灶?為角膜大感染灶周圍,出現與病灶之間沒有聯系的小的圓形感染灶。?
(4)免疫環?常表現為感染灶周圍的環形浸潤,此環與感染灶之間有一模糊的透明帶。?
(5)內皮斑?約有50%患者可見到角膜內皮面有圓形塊狀斑,常見于病灶下方或周圍。??
????(6)前房積膿?判斷角膜感染深度的一個重要指標,有前房積膿時說明感染已達角膜基質層,有的甚至是部分菌絲已穿透后彈力層。?
????(三)診斷?
?????臨床上可根據角膜植物外傷損傷后的感染史,結合角膜病灶的特征做出初步診斷,實驗室檢查找到真菌菌絲可以確診。?
?????常用的方法有:?
?????1.角膜刮片:此種方法簡單易行,結果比較可靠。但是陽性率只有70%,且易出現假陽性或假陰性。?
?????2.真菌培養:可以用來鑒別菌種,但培養需1周左右,耗時較長。?
?????3.病理活檢:當刮片和培養均為陰性結果,臨床仍然懷疑真菌感染時除應反復多次進行檢查外,還應做角膜活檢。取的病灶組織,石蠟包埋固定后作病理切片,然后染色鏡檢,確定潰瘍性質。?
?????4.角膜共聚焦顯微鏡:是一種活體非創傷性的角膜疾病檢查方法,可以從細胞水平觀察角膜的不同層次結構。可見高清晰度的菌絲,在時間、敏感性、安全性方面,共焦顯微鏡都明顯優于以往任何一種診斷方法。?
????(四)治療及預后?
?????1.?藥物:?
?????常用的抗真菌藥物:?
?????①二性霉素B:屬于多烯類,對念珠菌、曲霉菌、新型隱球菌抗菌活性強。缺點是毒性大,不宜全身應用,可配成0.25%滴眼液點眼。但該眼液不溶于水,角膜內穿透性差,建議在開始48小時內每半小時—1小時點眼,其后可逐漸減少點眼次數。?
?????②那他霉素:亦屬于多烯類,對鐮刀菌抗菌活性強。建議開始每1~2小時1次,3~4天后改為每天6~8次,治療一般要持續14~21天,或者一直持續到活動性真菌性角膜炎消退。?
?????③氟康唑:屬咪唑類,為一類廣譜抗真菌藥,具有水溶性好、口服吸收快、肝毒性低等優點,故多首先選用本藥。常用劑量為0.5%溶液每半小時滴眼一次或結膜下0.3ml注射,根據病情還可以靜脈注射。?
?????④伊曲康唑:屬咪唑類,能強有力地抑制大多數致病真菌如曲霉菌、念珠菌、隱球菌等。口服易吸收,200mg,每日一次口服。因其對肝功有一定損害,建議應用不超過3周,且用藥前后要監測肝功。?
?????目前,0.25%二性霉素眼水和5%那他霉素眼水是抗真菌性角膜炎的一線藥物。如果實驗室檢查證實病原菌是絲狀菌屬,則首選5%那他霉素眼水;如果病原菌是酵母菌屬,則可選用0.25%二性霉素眼水、0.5%氟康唑眼水、5%那他霉素眼水。抗真菌藥物聯合應用有協同作用,可以減少藥物用量,降低毒副作用,?
????2.手術:?
?????即使診斷明確、用藥及時,仍然有15%-27%的患者病情不能控制,此時需要考慮手術治療。?
???? 對于病灶浸潤較淺或者致病力較弱的菌種可考慮行病灶切除或者結膜瓣遮蓋手術。對于病灶較深或者致病力較強的菌種考慮實施角膜移植手術。板層角膜移植適用于病灶浸潤部分基質可以板層切除干凈的病例,若角膜潰瘍接近或已經導致穿孔者,以穿透性角膜移植為主。術后繼續選用敏感的、毒性較低的抗真菌藥物治療,以防止術后復發。若角膜穿孔或真菌侵入前房引起真菌性眼內炎,則預后較差,甚至導致摘除眼球。??
山東省眼科醫院角膜病科?劉麗梅?
2012.01.30
地址:山東省濟南市經四路372號
郵編:250021
電話:0531-81276111
咨詢電話:0531-81276000
公眾號
小程序