您好,歡迎訪問山東第一醫科大學附屬眼科醫院!

古稀老人求醫難,妙手回春換笑顏

發布時間:2012/02/24 23:09

“這兒的醫生水平高,護士操心,哪兒都比不了啊……!”已經步入古稀之年的于老太太雖然躺在病床上,卻是滿臉的喜悅,感激之情溢于言表。  
家住江蘇徐州市的于老太太今年85歲,左眼已失明多年,一年前出現右眼視力下降并伴有眼疼,身體上的不便讓她不得不每天以床和輪椅為伴,看不見東西讓老人的脾氣也越來越大,一年間,為了治病走訪了徐州、南京、上海等多家醫院,但是因為于老太太年紀過大,雙側髖關節置換術后行走困難,且患有腦血管、心血管等疾病,眼部病情復雜,遲遲未能得到手術治療。近日倍受病痛煎熬的于老太太慕名來到山東省眼科醫院求醫。
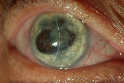
入院后經過眼科醫院醫生的細心檢查,右眼診斷為“角膜脂肪變性”,視力極差,連眼前的手指頭都看不大清楚,角膜中央區變薄明顯,僅剩正常厚度的1/4,角膜移植是讓于老太太重見光明的唯一方法。但今年85歲的于老太太同時患有嚴重的白內障,單純的角膜移植并不能很好地解決其視力問題;而另一方面,角膜移植和白內障摘除兩種手術同時進行,風險較高。但如果不做聯合手術,老人很可能還要在黑暗中迷茫摸索,并且角膜移植后還能否二次行白內障手術也是個未知數。
入院后首先對老人的全身情況進行了系統檢查為手術做好充分準備,以史偉云教授為帶頭人的專家團隊對經過病情討論,決定施行高難度的角膜移植和白內障摘除+人工晶體植入聯合手術,為保證手術成功,醫院醫護人員制定了周密的手術方案,由史偉云院長親自主刀,順利完成手術。術后給予精心的護理配合藥物治療。
在醫護人員的精心手術和護理下,于老太太的眼睛一天天的好轉,出院時于老太太臉上洋溢著重見光明的喜悅,激動的對史院長說:“剛來住院時只能聽到你的聲音,現在終于能看清你的樣子了,原來你還戴眼鏡呀!”,病房里頓時笑聲一片。
?
?
????????????????? 術前?????????????????????????????術后
?
山東省眼科醫院角膜病科 丁剛



地址:山東省濟南市經四路372號

郵編:250021

電話:0531-81276111

咨詢電話:0531-81276000

公眾號

小程序

版權所有 2008-2022 山東省眼科醫院 信息部 魯ICP備14000770號 魯公網安備37010402000539號 濟醫廣審字[2022]第0627-152號
丝瓜视频