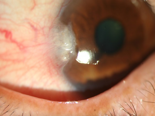
翼狀胬肉俗稱“魚肉”,是瞼裂部球結膜及結膜下組織發生變性、肥厚、增生,向角膜內發展,呈三角形,如翼狀,因而得名。當胬肉向角膜中央進展時,可引起散光、干眼癥;若遮蓋瞳孔,則將嚴重影響視力;肥厚攣縮的胬肉可限制眼球運動。如眼部刺激癥狀或磨擦感明顯,或翼狀胬肉長入黑眼球并遮擋瞳孔區影響視力時,應考慮手術治療。我院采用胬肉切除聯合自體干細胞移植相結合的方法治療翼狀胬肉。??
??為了達到更好的手術效果,及術后能夠更快的恢復,患者應在手術過程中盡量做到如下配合:??
1、手術體位采用平臥位,手術過程中要睜開雙眼。??
2、根據術者的指引兩只眼睛同時看向一個方向,一般為手術眼的顳側或患者嘴巴兩個基本方向。??
3、看好后眼睛不要轉,直至術者更換指引的方向。??
4、向術者指引的方向看時應盡量充分的暴露術者需要操作的部位。無論是病變的組織還是移植的干細胞都需要被充分的暴露,才能保證手術即好又快的順利進行。??
5、手術過程中,患者的手最好放在自己身體的兩邊,不要抬起,以免污染手術洞巾。??
6、手術中如有不適,如咳嗽、打噴嚏等應先告知術者。待術者做好準備,得到術者應允后再咳嗽或是打噴嚏。??
7、手術中術者如果問話,患者只需口頭回答,切不要點頭或是搖頭。??
???翼狀胬肉手術采用表面麻醉。手術過程中患者會有觸覺但是不會有疼痛感,所以患者只需放松心情、積極配合就可以了。?
???

??術前?
???

??術后
???????????????????
???山東省眼科醫院????手術室
?????????????????????????????