您好,歡迎訪問山東第一醫科大學附屬眼科醫院!

如何預防角膜潰瘍

發布時間:2012/06/26 19:09

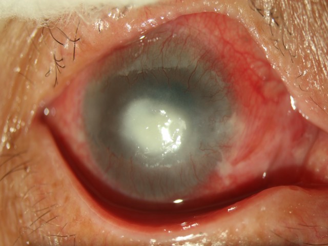
臨床上,角膜因其經常暴露在空氣里,接觸病菌機會較多,常因異物進入等受到外傷。角膜異物剔除后損傷以及沙眼及其并發癥、內翻倒睫刺傷角膜,細菌、病毒或真菌都會乘機而入,引起感染而發生角膜潰瘍。此外,如結核引起的變態反應、維生素A缺乏、面癱及眼瞼疤痕致眼瞼閉合不良均可引起角膜潰瘍。在世界范圍內,角膜潰瘍導致的角膜瘢痕是致盲和視力損害的主要原因之一。
?
  俗話說:治病不如防病。一旦發生角膜潰瘍,沒有任何幸運者可以逃避影響視力的災難,輕則形成角膜白斑,猶如窗戶拉上一扇窗簾,擋住了你的視線,重則角膜潰瘍、穿孔最后失明。因此,角膜潰瘍病,重在預防。日常生活中要預防角膜潰瘍,應該注意以下幾點:
?
  1、養成良好的衛生習慣,勤洗手,常剪指甲,注意眼部衛生,不用臟手或臟手絹擦眼,預防沙眼及紅眼病。
?
  2、不要長期佩戴隱形眼鏡。?

  3、眼睛進了沙子,千萬不能用手揉眼,特別是角膜異物,應當到醫院請眼科醫生取出,以防止角膜擦傷及細菌感染。
?
  4、角膜異物取出后,常有角膜上皮損傷,應當點抗生素眼藥水或涂抗生素眼膏3日以上。如損傷范圍大,涂眼藥膏后應加蓋眼墊,每日到醫院檢查,以防止感染。
?
  5、患有結膜炎、沙眼、瞼內翻倒睫、慢性淚囊炎者,應及早治療。?
?
  6、不要養成用紙巾擦眼的習慣。市面上的紙巾良莠不齊,未經過合格消毒,容易引起感染。有如必要,可使用干凈的手絹擦眼。
?
  7、點眼藥水時,切忌使瓶口接觸眼瞼,以防細菌污染,造成感染。
?
  8、平時應注意鍛煉身體,增強體質,避免感冒及其他發熱性疾病。?

  9、多吃一些具有寒性與清熱瀉火作用的食物與水果,如茭白、冬瓜、苦瓜、鮮藕、香蕉、西瓜等等。
?
  10、值得提醒的是,眼部一旦出現刺激癥狀,如怕光、流淚、疼痛、睜不開眼等,應到專業的眼科醫院檢查,不要胡亂用藥,以免使病情加重,加大疾病的治療難度。任何的耽誤都有可能遺留角膜疤痕,使視力遭受永久損害。

??? 術前

?? 術后


????山東省眼科醫院???病房護理



地址:山東省濟南市經四路372號

郵編:250021

電話:0531-81276111

咨詢電話:0531-81276000

公眾號

小程序

版權所有 2008-2022 山東省眼科醫院 信息部 魯ICP備14000770號 魯公網安備37010402000539號 濟醫廣審字[2022]第0627-152號
丝瓜视频