您好,歡迎訪問山東第一醫科大學附屬眼科醫院!

翼狀胬肉

發布時間:2012/06/28 18:37

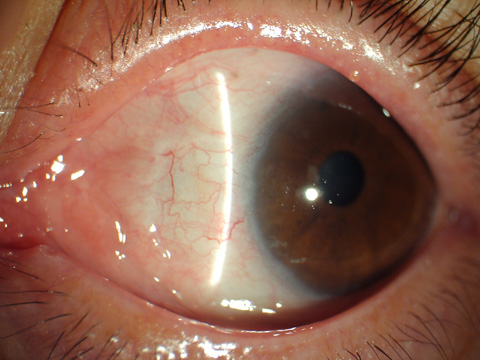
翼狀胬肉中醫稱“胬肉攀睛”,俗稱“魚肉”, 呈三角形,如翼狀,故名。它是一種很常見的結膜變性疾患。為瞼裂部球結膜與角膜上一種贅生組織,侵犯角膜后日漸增大,甚至可覆蓋至瞳孔區而嚴重影響視力。多見于戶外勞動者,以漁民、農民發病最多,可能與風塵、日光、煙霧等長期的慢性刺激有關。同時工作過度勞累、睡眠不足和結膜慢性炎癥的也是誘發因素。
翼狀胬肉就其形態而言可以分為3個部分:長在黑眼珠上,是胬肉的尖端,叫做頭部。向后呈扇形展開,稍隆起,位于黑白眼珠交界處的叫頸部。伸展到白眼珠表面的寬大部分叫做體部,在它的上面有許多新生血管。
翼狀胬肉大致可以分為兩型
(1)靜止型:胬肉長到黑眼珠邊緣上就停止了,它不充血,微紅色,頭部扁平,頸及體部較薄,處于相對靜止狀態,但不自行消退。
(2)進展型:胬肉的頸部寬大,新生血管多,充血,肥厚,體部呈三角形向兩側伸展,頭部明顯隆起,長入黑眼珠表面,甚至遮擋瞳孔。 ?
針對不同類型的翼狀胬肉治療方法不同:
(1)藥物治療:對靜止型者,胬肉未侵入角膜,又不影響視力,可不必治療。合并有沙眼或者慢性結膜炎者,可應用抗生素或糖皮質激素眼水點眼,如0.02%氟米龍眼藥水,每日3~4次。
(2)對進展型胬肉或胬肉長入角膜影響視力者,應當到醫院行胬肉切除。
目前常用的兩種手術方式為:單純胬肉切除術及胬肉切除聯合含干細胞的自體結膜移植術。其中前者手術方法操作亦較簡單,手術時間相對較短,花費較少,但術后易復發,復發機率高達20%-30%,目前基本棄用。后者手術方法操作相對較復雜,并有一定難度,但手術效果較好,術后復發率可明顯降低。 目前我院高華博士致力于此項研究多年,我院申報的“翼狀胬肉手術臨床應用”被省衛生廳確定為衛生強基工程第二批適宜衛生技術推廣項目獲得山東省衛生廳衛生強基工程項目資助,在全省范圍內對該手術進行推廣,希望給更多患者帶來福音。
?????????????翼狀胬肉??????????????胬肉切除聯合自體干細胞移植術后一月
?
附:我院高華博士翼狀胬肉手術臨床應用強基工程
?
山東省眼科醫院角膜病科 劉麗梅


地址:山東省濟南市經四路372號

郵編:250021

電話:0531-81276111

咨詢電話:0531-81276000

公眾號

小程序

版權所有 2008-2022 山東省眼科醫院 信息部 魯ICP備14000770號 魯公網安備37010402000539號 濟醫廣審字[2022]第0627-152號
丝瓜视频