??? 來自河北省的張女士,因雙眼開角型青光眼18年前于當地醫院行雙眼小梁切除術,五年前因左眼眼壓再次升高藥物不能控制在外院行青光眼閥植入術。最近半年張女士發現自己左眼的黑眼珠有白點,并有逐漸擴大的趨勢,于是輾轉于全國各大醫院就診,但都沒有有效的治療措施。失望的同時當地醫院大夫告知張女士來到我院就診,我院對其進行了詳細的檢查,發現張女士左眼青光眼閥前房內硅管頭部接觸到了角膜內皮,導致內皮數量下降至500個/mm2現左眼角膜內皮功能失代償。考慮到青光眼閥尚存在功能,如取出將導致眼壓再次升高,經過我院多為專家會診,為張女士制定了最佳治療方案,進行了微創青光眼閥硅管調位術,術后青光眼閥位置良好(前房內硅管縮短與角膜內皮面保持一定距離),角膜水腫也有好轉。張女士對我院精湛創新的手術技術贊不絕口。
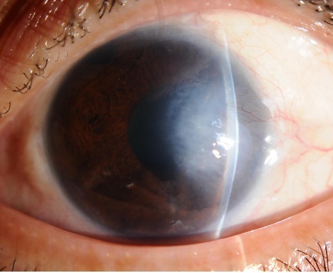
??? 因此,對于短眼軸淺前房的患者要慎重選擇青光眼閥植入手術,避免引起角膜的并發癥。下圖顯示了青光眼閥硅管與角膜接觸導致角膜病變。
???

青光眼科 張文波
??2012-08-02
?