您好,歡迎訪問山東第一醫科大學附屬眼科醫院!

角膜內皮移植術治療角膜內皮細胞功能失代償

發布時間:2013/09/05 19:10

角膜內皮細胞功能失代償,又稱大泡性角膜病變,是一組因各種原因引起的角膜內皮細胞數下將,以致不能維持正常角膜的生理功能,而出現的角膜基質水腫,上皮大泡、眼痛及視力下降的癥狀。以往唯一能解決癥狀又能提高視力的手術是穿透性角膜移植術,然而術后免疫排斥反應以及術后散光等問題一直是困擾眼科醫生和患者的難題。近年來隨著眼科手術技巧的不斷提高和顯微技術的不斷改進,治療角膜內皮細胞功能失代償有了更新更好的手術方式——角膜內皮移植術。
它是用健康的供體內皮來置換病變的內皮層和后彈力層,而盡量保留未病變的角膜基質層。該手術因損傷小、視力恢復快、排斥反應少,現已逐漸取代穿透性角膜移植術而成為治療內皮病變的首選方法,撕除后彈力層的角膜內皮移植術是目前的主流術式。
山東省眼科醫院自2009年以來已成功開展多例角膜內皮移植手術,為眾多角膜內皮失代償患者解除了痛苦,并取得了豐富的臨床經驗。同時,我院擁有國際先進的標準化眼庫——山東省紅十字眼庫,為實施角膜內皮移植手術提供了必要的支持。
2011年我院全國首批成功引進了世界頂級鷹視FS200飛秒激光系統, 由于飛秒激光切割精確度高、無熱損傷、對角膜的生物力學改變小等優勢,在角膜移植手術中發揮了更大的優勢。我院史偉云教授將飛秒激光這種新興的技術引入角膜內皮移植手術中來,用于代替傳統角膜環鉆及板層刀等器械,使手術更精確,安全,取得了更好的手術效果。全國各地的角膜病患者慕名而來,在我院得到良好的診治,解除了長期疾病的痛苦。
?
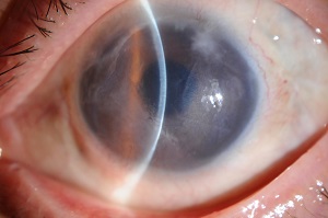
圖一: 角膜內皮細胞功能失代償患者,術前眼磨、眼痛,視力下降,術前視力0.02;
?
圖二:角膜內皮移植術后,角膜水腫消退,角膜恢復透明,視力明顯提高,術后最佳矯正視力達到0.8。
?
?
?
???????????????????????????????????????????? 山東省眼科醫院角膜病科


地址:山東省濟南市經四路372號

郵編:250021

電話:0531-81276111

咨詢電話:0531-81276000

公眾號

小程序

版權所有 2008-2022 山東省眼科醫院 信息部 魯ICP備14000770號 魯公網安備37010402000539號 濟醫廣審字[2022]第0627-152號
丝瓜视频