您好,歡迎訪問山東第一醫科大學附屬眼科醫院!

眼球穿通傷

發布時間:2013/01/31 23:52

眼球穿通傷是由銳器造成的眼球壁的全層裂開,可伴有眼內組織損傷或脫出。
造成穿通傷的原因很多,如刀、剪子、鉛絲、針、釘等刺傷,或敲擊金屬物件時碎屑穿入眼內等。傷眼的預后主要取決于損傷的嚴重程度和部位、有無感染或并發癥、診斷治療是否及時和恰當。[1]
臨床特點:因致傷物的大小、性質、穿進的深度和部位等不同,其臨床表現也不同。按照眼球穿通的部位,可分為角膜穿通傷、角鞏膜穿通傷、鞏膜穿通傷、眼球貫通傷。
1.角膜穿通傷:較常見。臨床癥狀有明顯的眼痛、流淚和視力下降。若角膜傷口較小且規則,可自行閉合,若傷口較大或刺入較深,常有虹膜嵌頓,前房消失、瞳孔變形、晶狀體混濁、眼內出血等
2.角鞏膜穿通傷:指傷口同時累及角膜和鞏膜,可引起虹膜、睫狀體、晶狀體和玻璃體的損傷、脫出和眼內出血。
3.鞏膜穿通傷:小的傷口因結膜覆蓋容易被忽略,穿孔處可能僅見結膜下出血。大的傷口伴有脈絡膜、玻璃體和視網膜損傷及玻璃體積血,葡萄膜、視網膜、玻璃體等組織可脫出于鞏膜傷口或結膜下,預后較差。如果傷及黃斑部可造成中心視力嚴重受損或喪失。
4.眼球貫通傷 在臨床上也較多見,是指同時有兩個傷口,一般一個在前,一個在后,前面的傷口因位置表淺容易發現,而后面的傷口則較為隱蔽,往往易被忽略。
疾病診斷:根據外傷病史和臨床表現多可明確診斷,但應注意兒童的外傷病史有時不夠明確。檢查時應注意可能存在的鞏膜穿通傷,必要時行手術探查。
常見并發癥
1. 眼內組織脫出: 穿通傷時,虹膜、晶狀體或玻璃體嵌入角膜傷口內,可引起繼發性青光眼以及大皰性角膜炎。玻璃體脫入傷口還易發生黃斑囊樣水腫和牽引性視網膜脫離。壞死的嵌頓組織也可成為進入眼內細菌的良好的培養基。有色素膜脫出的穿通傷是發生交感性眼炎的潛在病因。
2.外傷性白內障: 晶體可發生白色混濁或破裂
3.眼內瘢痕形成 傷后眼內瘢痕形成的重要原因是出血和炎癥碎片的機化。其常見后遺癥是繼發青光眼、眼內結締組織反應性增生(增殖性視網膜病變)、虹膜紅變、睫狀膜形成以及最終低眼壓和眼球癆。
疾病治療
治療原則是盡早縫合傷口,防止感染和炎癥,治療并發癥,盡可能恢復眼球的結構和功能。
1. 傷口處理 應盡早爭取及早縫合修補傷口,懷疑眼內有異物時,應進一步作影像學檢查,確有異物存留者,應盡早手術取出
2. 防治感染和炎癥:穿通傷易受外界細菌侵襲,引起眼內感染。術后應全身用抗生素及糖皮質激素,局部頻滴抗生素滴眼液及妥布霉地塞米松眼水等。
預防措施
工廠和車間要制定安全的保護措施,建立和健全規章制度,并要經常檢查落實情況,杜絕外傷事故發生。學校教師和家長,對小孩要進行安全教育,不要玩弄尖銳玩具,嚴禁亂玩爆炸物品。一切防患于未然。
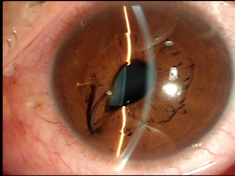
??????????照片示前房內異物及瞳孔變形


地址:山東省濟南市經四路372號

郵編:250021

電話:0531-81276111

咨詢電話:0531-81276000

公眾號

小程序

版權所有 2008-2022 山東省眼科醫院 信息部 魯ICP備14000770號 魯公網安備37010402000539號 濟醫廣審字[2022]第0627-152號
丝瓜视频