由于很擔心我的21床患者,今天很早起床趕到醫院,換下工作服后匆匆跑到病床前,把患者領到檢查室進行術后查房。該患者左眼12年前因病毒性角膜炎角膜穿孔導致眼球萎縮摘除了,僅存的右眼也患了嚴重的病毒性角膜角膜潰瘍穿孔合并過熟期白內障,視力完全喪失,昨天史偉云院長剛給她做了白內障手術。我小心翼翼的把紗布打開,祈禱她可以看到哪怕一點點的光明。“我看到點了,劉醫師,我看到你穿的白衣服了,”我緊張的心立刻輕下來:“找一下你的女兒,能看到她在哪里嗎?”看到她伸手拉到女兒的手,我心里的石頭終于落地了。
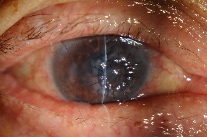
她50多歲了,從進醫院起就唉聲嘆氣,臉上從沒有笑容。她從安徽省幾經波折才找到我院就診。患者12年前因角膜穿孔致眼球萎縮最終行左眼球摘除,僅靠右眼視物。而右眼30年來反復眼紅,視力逐漸下降,在當地多家醫院就診為病毒性角膜炎,一直藥物治療。近一個月來,患者覺視力下降嚴重,僅有光感的視力,更嚴重的是近幾天總感覺眼前有熱淚流出,到當地醫院檢查才發現角膜已經穿孔破掉了(圖一),醫生介紹其來山東省眼科醫院進一步治療。我院的史偉云教授給患者做了詳細的檢查后,發現患者不但角膜潰瘍穿孔,還并發了嚴重的白內障。為保證手術的安全,幫助患者重新獲得光明,史教授緊急制定了搶救眼睛的計劃,先做角膜移植,再做白內障。因此住院第二天就給患者做了角膜移植手術,術后恢復良好(圖二),八天后又給患者做了白內障超聲乳化手術聯合人工晶體植入術(圖三)。因此也就出現了文章開頭的一幕。
現在已經是手術后一周了,患者生活已經可以自理,重見光明給了她希望,給了她生活的快樂,我可以看見她臉上掛著微笑和女兒及病友聊天,我真的很開心,還有什么比這一幕能更讓人感到幸福。

??
圖一 角膜穿孔并發白內障未做手術前 視力 光感
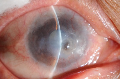
圖二 穿透性角膜移植術后第四天散瞳后顯示白內障嚴重
?